写真をクリックすると詳しい大きな画像になります
矯正歯科治療に伴う一般的なリスクや副作用について
@ 最初は矯正装置による不快感、痛み等があります。数日間〜1、2 週間で慣れることが多いです。
A 歯の動き方には個人差があります。そのため、予想された治療期間が延長する可能性があります。
B 装置の使用状況、顎間ゴムの使用状況、定期的な通院等、矯正治療には患者さんの協力が非常に重要であり、それらが治療結果や治療期間に影響します。
C 治療中は、装置が付いているため歯が磨きにくくなります。むし歯や歯周病のリスクが高まりますので、丁寧に磨いたり、定期的なメンテナンスを受けたりすることが重要です。また、歯が動くと
隠れていたむし歯が見えるようになることもあります。
D 歯を動かすことにより歯根が吸収して短くなることがあります。また、歯ぐきがやせて下がることがあります。
E ごくまれに歯が骨と癒着していて歯が動かないことがあります。
F ごくまれに歯を動かすことで神経が障害を受けて壊死することがあります。
G 治療途中に金属等のアレルギー症状が出ることがあります。
H 治療中に「顎関節で音が鳴る、あごが痛い、口が開けにくい」などの顎関節症状が出ることがあります。
I 様々な問題により、当初予定した治療計画を変更する可能性があります。
J 歯の形を修正したり、咬み合わせの微調整を行ったりする可能性があります。
K 矯正装置を誤飲する可能性があります。
L 装置を外す時に、エナメル質に微小な亀裂が入る可能性や、かぶせ物(補綴物)の一部が破損する可能性があります。
M 装置が外れた後、保定装置を指示通り使用しないと後戻りが生じる可能性が高くなります。
N 装置が外れた後、現在の咬み合わせに合った状態のかぶせ物(補綴物)やむし歯の治療(修復物)などをやりなおす可能性があります。
O あごの成長発育によりかみ合わせや歯並びが変化する可能性があります。
P 治療後に親知らずが生えて、凸凹が生じる可能性があります。加齢や歯周病等により歯を支えている骨がやせるとかみ合わせや歯並びが変化することがあります。その場合、再治療等が必要になることがあります。
Q 矯正歯科治療は、一度始めると元の状態に戻すことは難しくなります。
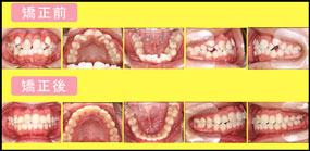
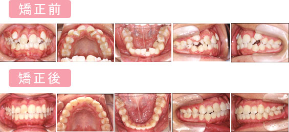
@ガタガタ
歯ならびがガタガタで・・・
口を大きくあけて笑えなくって・・・
<歯を抜かないで治しています>

主訴:ガタガタが気になる
診断名主な症状:Class II crowding
開始年齢:10
装置:H.G+M..B.S.
抜歯部位:非抜歯(0本)
治療期間:26ヵ月
治療費:52万+消費税
リスク(カリエス・歯周病・歯根吸収):矯正治療中・後カリエス等無し

主訴:ガタガタが気になる
診断名主な症状:Class I crowding
開始年齢:14
装置:R.E.P.+M..B.S.
抜歯部位:非抜歯(0本)
治療期間:22ヵ月
治療費:52万+消費税
リスク(カリエス・歯周病・歯根吸収):矯正治療中・後カリエス等無し

主訴:ガタガタが気になる
診断名主な症状:Class I crowding
開始年齢:12
装置:H.G.+M..B.S.
抜歯部位:非抜歯(0本)
治療期間:20ヵ月
治療費:52万+消費税
リスク(カリエス・歯周病・歯根吸収):矯正治療中・後カリエス等無し

主訴:ガタガタが気になる
診断名主な症状:Class I crowding cross bite
開始年齢:12
装置:R.E.P.+M..B.S.
抜歯部位:非抜歯(0本)
治療期間:28ヵ月
治療費:52万+消費税
リスク(カリエス・歯周病・歯根吸収):矯正治療中・後カリエス等無し

主訴:ガタガタが気になる
診断名主な症状:Class I crowding
開始年齢:11
装置:H.G.+M..B.S.
抜歯部位:非抜歯(0本)
治療期間:37ヵ月
治療費:52万+消費税
リスク(カリエス・歯周病・歯根吸収):矯正治療中・後カリエス等無し

主訴:ガタガタが気になる
診断名主な症状:Class I crowding cross bite
開始年齢:12
装置:H.G.+M..B.S.
抜歯部位:非抜歯(0本)
治療期間:37ヵ月
治療費:52万+消費税
リスク(カリエス・歯周病・歯根吸収):矯正治療中・後カリエス等無し

主訴:ガタガタが気になる
診断名主な症状:Class I crowding
開始年齢:9
装置:H.G.+M..B.S.
抜歯部位:非抜歯(0本)
治療期間:49ヵ月
治療費:52万+消費税
リスク(カリエス・歯周病・歯根吸収):矯正治療中・後カリエス等無し

主訴:ガタガタが気になる
診断名主な症状:11 近心捻転
開始年齢:10
装置:L.A.+M..B.S.
抜歯部位:非抜歯(0本)
治療期間:38ヵ月
治療費:52万+消費税
リスク(カリエス・歯周病・歯根吸収):矯正治療中・後カリエス等無し

主訴:ガタガタが気になる
診断名主な症状:open bite crowding
開始年齢:9
装置:T.G.+M..B.S.
抜歯部位:非抜歯(0本)
治療期間:24ヵ月
治療費:52万+消費税
リスク(カリエス・歯周病・歯根吸収):矯正治療中・後カリエス等無し

主訴:ガタガタが気になる
診断名主な症状:Class II crowding
開始年齢:8
装置:H.G.+M..B.S.
抜歯部位:非抜歯(0本)
治療期間:37ヵ月
治療費:52万+消費税
リスク(カリエス・歯周病・歯根吸収):矯正治療中・後カリエス等無し

主訴:ガタガタが気になる
診断名主な症状:Class I crowding
開始年齢:10
装置:H.G.+M..B.S.
抜歯部位:非抜歯(0本)
治療期間:23ヵ月
治療費:52万+消費税
リスク(カリエス・歯周病・歯根吸収):矯正治療中・後カリエス等無し

主訴:ガタガタが気になる
診断名主な症状:12,22, cross bite
開始年齢:9
装置:L.A.+M..B.S.
抜歯部位:非抜歯(0本)
治療期間:53ヵ月
治療費:52万+消費税
リスク(カリエス・歯周病・歯根吸収):矯正治療中・後カリエス等無し

主訴:ガタガタが気になる
診断名主な症状:Skeletal class II crowding
開始年齢:10
装置:L.A.+H.G.+M..B.S.
抜歯部位:非抜歯(0本)
治療期間:50ヵ月
治療費:52万+消費税
リスク(カリエス・歯周病・歯根吸収):矯正治療中・後カリエス等無し
<仕方なく歯を抜いて治しています>

主訴:ガタガタが気になる
診断名主な症状:Class I crowding
開始年齢:11
装置:M..B.S.
抜歯部位:14,24,34,44 (4本)
治療期間:18ヵ月
治療費:52万+消費税
リスク(カリエス・歯周病・歯根吸収):矯正治療中・後カリエス等無し

主訴:ガタガタが気になる
診断名主な症状:Class I crowding
開始年齢:12
装置:M..B.S.
抜歯部位:14,24,34,44 (4本)
治療期間:21ヵ月
治療費:52万+消費税
リスク(カリエス・歯周病・歯根吸収):矯正治療中・後カリエス等無し

主訴:ガタガタが気になる
診断名主な症状:Skeletal class II crowding
開始年齢:12
装置:M..B.S.
抜歯部位:12,24,34 (3本)
治療期間:24ヵ月
治療費:52万+消費税
リスク(カリエス・歯周病・歯根吸収):矯正治療中・後カリエス等無し

主訴:ガタガタが気になる
診断名主な症状:Skeletal class III crowding
開始年齢:14
装置:M..B.S.
抜歯部位:14,24,34,44 (4本)
治療期間:25ヵ月
治療費:52万+消費税
リスク(カリエス・歯周病・歯根吸収):矯正治療中・後カリエス等無し

主訴:前歯が出ている
診断名主な症状:Skeletal class II crowding
開始年齢:19
装置:W-arch+M..B.S.
抜歯部位:14,24, (2本)
治療期間:24ヵ月
治療費:52万+消費税
リスク(カリエス・歯周病・歯根吸収):矯正治療中・後カリエス等無し
A受け口
前歯が反対にかみ合ってしまって・・・
発音がおかしい気がして・・
<歯を抜かないで治しています>

主訴:反対咬合が気になる
診断名主な症状:Skeletal class III
開始年齢:11
装置:L.A.+M.P.A.+M..B.S.
抜歯部位:非抜歯(0本)
治療期間:43ヵ月
治療費:52万+消費税
リスク(カリエス・歯周病・歯根吸収):矯正治療中・後カリエス等無し

主訴:反対咬合が気になる
診断名主な症状:Skeletal class III
開始年齢:11
装置:M.P.A.+E.L.A.+M..B.S.
抜歯部位:非抜歯 (0本)
治療期間:40ヵ月
治療費:52万+消費税
リスク(カリエス・歯周病・歯根吸収):矯正治療中・後カリエス等無し

主訴:反対咬合が気になる
診断名主な症状:Skeletal class III
開始年齢:14
装置:L.A.+M..B.S.
抜歯部位:非抜歯 (0本)
治療期間:18ヵ月
治療費:52万+消費税
リスク(カリエス・歯周病・歯根吸収):矯正治療中・後カリエス等無し

主訴:反対咬合が気になる
診断名主な症状:Skeletal class III crowding
開始年齢:8
装置:L..A.+C.C.+M..B.S.
抜歯部位:非抜歯 (0本)
治療期間:59ヵ月
治療費:52万+消費税
リスク(カリエス・歯周病・歯根吸収):矯正治療中・後カリエス等無し

主訴:反対咬合が気になる
診断名主な症状:Skeletal class III
開始年齢:8
装置:L..A.+M.P.A.+M..B.S.
抜歯部位:非抜歯 (0本)
治療期間:77ヵ月
治療費:52万+消費税
リスク(カリエス・歯周病・歯根吸収):矯正治療中・後カリエス等無し

主訴:反対咬合が気になる
診断名主な症状:Class III crowding
開始年齢:7
装置:E.L.A.+M..B.S.
抜歯部位:非抜歯 (0本)
治療期間:64ヵ月
治療費:52万+消費税
リスク(カリエス・歯周病・歯根吸収):矯正治療中・後カリエス等無し

主訴:反対咬合が気になる
診断名主な症状:Class III crowding
開始年齢:8
装置:L.A.+M..B.S.
抜歯部位:非抜歯 (0本)
治療期間:52ヵ月
治療費:52万+消費税
リスク(カリエス・歯周病・歯根吸収):矯正治療中・後カリエス等無し

主訴:反対咬合が気になる
診断名主な症状:Class III crowding
開始年齢:8
装置:L.A.+M..B.S.
抜歯部位:非抜歯 (0本)
治療期間:69ヵ月
治療費:52万+消費税
リスク(カリエス・歯周病・歯根吸収):矯正治療中・後カリエス等無し

主訴:反対咬合が気になる
診断名主な症状:Class III
開始年齢:8
装置:L.A.+M..B.S.
抜歯部位:非抜歯 (0本)
治療期間:47ヵ月
治療費:52万+消費税
リスク(カリエス・歯周病・歯根吸収):矯正治療中・後カリエス等無し

主訴:反対咬合が気になる
診断名主な症状:Skeletal class III
開始年齢:13
装置:L.A.+M..B.S.
抜歯部位:非抜歯 (0本)
治療期間:17ヵ月
治療費:52万+消費税
リスク(カリエス・歯周病・歯根吸収):矯正治療中・後カリエス等無し

主訴:反対咬合が気になる
診断名主な症状:Class III
開始年齢:10
装置:C.C.+L.A.+M..B.S.
抜歯部位:非抜歯 (0本)
治療期間:43ヵ月
治療費:52万+消費税
リスク(カリエス・歯周病・歯根吸収):矯正治療中・後カリエス等無し
<仕方なく歯を抜いて治しています>

主訴:反対咬合・八重歯が気になる
診断名主な症状:Skeletal class III
開始年齢:13
装置:M.P.A.+E.L.A.+M..B.S.
抜歯部位:14,24,34,44 (4本)
治療期間:35ヵ月
治療費:52万+消費税
リスク(カリエス・歯周病・歯根吸収):矯正治療中・後カリエス等無し
B出っ歯、C口元が出ている
上の歯が出ていて・・・
口が閉じづらくて・・・
前歯でものが噛みきれなくて・・・
<歯を抜かないで治しています>

主訴:上の歯が出ている
診断名主な症状:Skeletal class II crowding
開始年齢:10
装置:H.G.+M..B.S.
抜歯部位:非抜歯 (0本)
治療期間:54ヵ月
治療費:52万+消費税
リスク(カリエス・歯周病・歯根吸収):矯正治療中・後カリエス等無し

主訴:上の歯が出ている・ガタガタ
診断名主な症状:Class II crowding deep bite
開始年齢:10
装置:H.G.+M..B.S.
抜歯部位:非抜歯 (0本)
治療期間:59ヵ月
治療費:52万+消費税
リスク(カリエス・歯周病・歯根吸収):矯正治療中・後カリエス等無し
<仕方なく歯を抜いて治しています>

主訴:上の歯が出ている
診断名主な症状:Class I bimaxillary protrusion
開始年齢:17
装置:E.L.A.+M..B.S.
抜歯部位:14,24,35,45 (4本)
治療期間:36ヵ月
治療費:52万+消費税
リスク(カリエス・歯周病・歯根吸収):矯正治療中・後カリエス等無し

主訴:上の歯が出ている
診断名主な症状:Class II crowding
開始年齢:13
装置:W-arch+M..B.S.
抜歯部位:14,24 (2本)
治療期間:27ヵ月
治療費:52万+消費税
リスク(カリエス・歯周病・歯根吸収):矯正治療中・後カリエス等無し

主訴:上下の歯が咬まない・正中離開
診断名主な症状:Skeletal class II deep bite scissors bite
開始年齢:18
装置:W-arch+M..B.S.
抜歯部位:14,24 (2本)
治療期間:31ヵ月
治療費:52万+消費税
リスク(カリエス・歯周病・歯根吸収):矯正治療中・後カリエス等無し

主訴:上の歯が出ている
診断名主な症状:Class II deep bite
開始年齢:12
装置:H.G.+M..B.S.
抜歯部位:14,24 (2本)
治療期間:34ヵ月
治療費:52万+消費税
リスク(カリエス・歯周病・歯根吸収):矯正治療中・後カリエス等無し

主訴:上の歯が出ている・ガタガタ
診断名主な症状:Skeletal class II deep bite scissors bite
開始年齢:12
装置:M..B.S.
抜歯部位:14,24 (3本)
治療期間:28ヵ月
治療費:52万+消費税
リスク(カリエス・歯周病・歯根吸収):矯正治療中・後カリエス等無し

主訴:上の歯が出ている
診断名主な症状:Class II bimaxillary protrusion
開始年齢:12
装置:M..B.S.
抜歯部位:14,24,34,44 (4本)
治療期間:22ヵ月
治療費:52万+消費税
リスク(カリエス・歯周病・歯根吸収):矯正治療中・後カリエス等無し

主訴:ガタガタが気になる
診断名主な症状:Skeletal class II open bite crowding
開始年齢:21
装置:M..B.S.
抜歯部位:14,24 (2本)
治療期間:30ヵ月
治療費:52万+消費税
リスク(カリエス・歯周病・歯根吸収):矯正治療中・後カリエス等無し

主訴:上の歯が出ている
診断名主な症状:Class II
開始年齢:15
装置:M..B.S.
抜歯部位:14,24 (3本)
治療期間:24ヵ月
治療費:52万+消費税
リスク(カリエス・歯周病・歯根吸収):矯正治療中・後カリエス等無し
D咬み合わせが深い
<歯を抜かないで治しています>

主訴:上の歯が出ている
診断名主な症状:Skeletal class II crowding deep bite
開始年齢:9
装置:H.G.+M..B.S.
抜歯部位:非抜歯 (0本)
治療期間:34ヵ月
治療費:52万+消費税
リスク(カリエス・歯周病・歯根吸収):矯正治療中・後カリエス等無し

主訴:上の歯が出ている
診断名主な症状:Deep bite crowding
開始年齢:13
装置:M..B.S.
抜歯部位:非抜歯 (0本)
治療期間:24ヵ月
治療費:52万+消費税
リスク(カリエス・歯周病・歯根吸収):矯正治療中・後カリエス等無し
<仕方なく歯を抜いて治しています>

主訴:ガタガタが気になる
診断名主な症状:Deep bite crowding
開始年齢:20
装置:M..B.S.
抜歯部位:14,24,35,45 (4本)
治療期間:36ヵ月
治療費:52万+消費税
リスク(カリエス・歯周病・歯根吸収):矯正治療中・後カリエス等無し

主訴:上の歯が出ている
診断名主な症状:Skeletal class II deep bite
開始年齢:12
装置:M..B.S.
抜歯部位:14,24 (2本)
治療期間:85ヵ月
治療費:52万+消費税
リスク(カリエス・歯周病・歯根吸収):矯正治療中・後カリエス等無し
E咬み合わせが浅い
<歯を抜かないで治しています>

主訴:前歯が出てこない
診断名主な症状:Open bite crowding
開始年齢:8
装置:T.G.+M..B.S.
抜歯部位:非抜歯 (0本)
治療期間:54ヵ月
治療費:52万+消費税
リスク(カリエス・歯周病・歯根吸収):矯正治療中・後カリエス等無し
<仕方なく歯を抜いて治しています>

主訴:上の歯が出ている
診断名主な症状:Class I bimaxillary protrusion open bite
開始年齢:24
装置:M..B.S.
抜歯部位:14,24 (2本)
治療期間:24ヵ月
治療費:52万+消費税
リスク(カリエス・歯周病・歯根吸収):矯正治療中・後カリエス等無し

主訴:前歯がかみ合わない
診断名主な症状:Class I bimaxillary protrusion open bite
開始年齢:26
装置:M..B.S.
抜歯部位:14,24,34,44 (4本)
治療期間:18ヵ月
治療費:52万+消費税
リスク(カリエス・歯周病・歯根吸収):矯正治療中・後カリエス等無し
Fあごが曲がっている
下あごが出ていて・・・
顎がまがっていて・・・

主訴:物が咬めない
診断名主な症状:Facial asymmetry skeletal class III
開始年齢:14
装置:M..B.S.
抜歯部位:非抜歯 (0本)
治療期間:31ヵ月
治療費:52万+消費税
リスク(カリエス・歯周病・歯根吸収):矯正治療中・後カリエス等無し

主訴:下の顎が左に曲がっている
診断名主な症状:Facial asymmetry skeletal class III
開始年齢:27
装置:M..B.S.
抜歯部位:25 (1本)
治療期間:31ヵ月
治療費:52万+消費税
リスク(カリエス・歯周病・歯根吸収):矯正治療中・後カリエス等無し

主訴:反対咬合が気になる
診断名主な症状:Facial asymmetry skeletal class III open bite
開始年齢:19
装置:W-arch+M..B.S.
抜歯部位:非抜歯 (0本)
治療期間:27ヵ月
治療費:52万+消費税
リスク(カリエス・歯周病・歯根吸収):矯正治療中・後カリエス等無し
Gすきっ歯
<歯を抜かないで治しています>

主訴:上の歯が出ている・ガタガタ
診断名主な症状:Deep bite class II scissors bite spaced arch
開始年齢:13
装置:W-arch+M..B.S.
抜歯部位:24 (1本)
治療期間:37ヵ月
治療費:52万+消費税
リスク(カリエス・歯周病・歯根吸収):矯正治療中・後カリエス等無し

主訴:正中離開が気になる
診断名主な症状:Class I spaced arch
開始年齢:11
装置:M..B.S.
抜歯部位:非抜歯 (0本)
治療期間:16ヵ月
治療費:52万+消費税
リスク(カリエス・歯周病・歯根吸収):矯正治療中・後カリエス等無し

主訴:正中離開が気になる
診断名主な症状:Class I spaced arch deep bite
開始年齢:50
装置:M.B.S.
抜歯部位:非抜歯 (1本)
治療期間:9ヵ月
治療費:10万+消費税
リスク(カリエス・歯周病・歯根吸収):矯正治療中・後カリエス等無し
注意書き
(注)抜歯部位には親知らずを含めておりません
M.B.S.:マルチブラケット装置 C.C:チンキャップ M.P.A.:上顎前方牽引装置 L.A.:リンガルアーチ E.L.A:エクステンションリンガルアーチ R.E.P.:急速拡大装置 W-arch:拡大装置 .H.G..:ヘッドギア T.G.:タングクリブ
料金:定額は全額矯正の料金 部分矯正とも装置の料金の記載通りです(追加料金等一切ありません)



